Studienmitwirkende:
Dr. med. Georg Katz, Radiologe Merian Iselin Klinik
Dr. med. Thomas Egelhof, Chefarzt Radiologie Merian Iselin Klinik
Prof. Dr. med. Markus Knupp, Belegarzt an der Merian Iselin Klinik
Dr. med. Lukas Heisler
Prof. Dr. Werner Vach
Hintergrund:
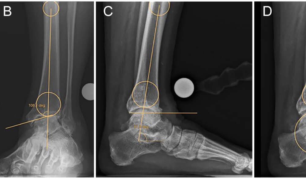
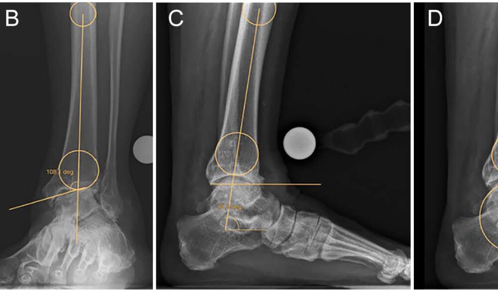
Die vorhandene Literatur zur Überlegenheit der patientenspezifischen Instrumentierung (PSI) bei der Knöchel-Totalendoprothese (TAA) gegenüber der Standardreferenzierung (SR) ist begrenzt. Als Vorteile werden unter anderem eine bessere Implantatausrichtung, kürzere Operationszeiten und eine höhere Genauigkeit bei der Vorhersage der Implantatgröße genannt. Ziel dieser retrospektiven Studie war es, die PSI in den Händen eines erfahrenen Fuß- und Sprunggelenkschirurgen zu analysieren, der sowohl mit der PSI als auch mit der SR für dieses spezielle Implantat noch nicht vertraut war, und zwar im Hinblick auf die Bestimmung der Implantatausrichtung, der Operationszeiten und des radiologischen Kurzzeitergebnisses sowie der Vorhersage der Implantatgröße für tibiale und talare Komponenten.
Der gesamte Bericht kann hier nachgelesen werden.




